Если у щенка рвота и понос в виде слизи
Понос у щенка – распространенная проблема, с которой сталкивается почти каждый владелец собаки. Если такое случилось, нужно проконтролировать частоту стула, его цвет, содержание примесей и обратить внимание на сопутствующие симптомы. Не стоит паниковать, если понос случился только один раз и имел обычный цвет, но долгая диарея у собаки – тревожный признак.
Причины диареи у щенков
У новорожденных щенков первые несколько суток идет процесс адаптации, это может вызывать жидкий стул. Беспокоиться не о чем, если щенки хорошо набирают вес и выглядят спокойными. Но чем старше становятся щенки – тем больше может быть причин диареи.

К самым частым причинам диареи относится неправильное питание, в частности:
- обычное переедание;
- прием слишком жирной пищи;
- резкий переход на другой вид корма;
- несбалансированный рацион;
- непереносимость определенных компонентов корма;
- употребление неподходящих для собаки продуктов или испорченной еды.
Следите за щенком во время прогулки – любознательные малыши могут подобрать и съесть что-то с земли. Такая еда часто вызывает расстройство желудка. Щенок может съесть даже что-то совершенно несъедобное – например, стиральный порошок или кусочек конструктора. Опасность для жизни в таком случае зависит от формы и размеров предмета.
Будьте внимательны, совсем маленькие щенки не умеют контролировать свой аппетит, поэтому при вводе прикорма сами следите за тем, чтобы не дать лишнего.
Еще понос могут вызвать:
- сильный стресс;
- смена зубов (начинается примерно в 3 месяца);
- аллергия на лекарства или еду;
- глисты (иногда заражение происходит еще в утробе матери);
- медикаменты, имеющие диарею среди побочных эффектов;
- вакцинация (понос может наблюдаться в течение 2-3 суток после прививки, не более).
Среди самых серьезных причин поноса у щенков:
- кишечные инфекции;
- бактериальные, вирусные, инвазионные заболевания;
- новообразования в ЖКТ.
Важно! Однократный жидкий стул у щенка – не повод для серьезного беспокойства. Но если понос продолжается более суток, необходимо как можно быстрее показать собаку ветеринару.
Причины поноса могут требовать немедленного врачебного вмешательства.

Формы диареи у щенков
Врачи различают острую и хроническую диарею у щенков.
При острой диарее собаку поносит не более 2-3 недель. Такой понос начинается резко и так же быстро исчезает. Хроническая диарея встречается реже и длится более 2-3 недель. Она зачастую сигнализирует о серьезных проблемах в организме собаки.
Хронической диарее особенно подвержены немецкие овчарки, южно-русские овчарки, йорки, доги, пинчеры, бордоссы. Взяв собаку одной из этих пород, будьте готовы к периодическому жидкому стулу.
Нормальный стул для щенка имеет желтовато-коричневый цвет и твердую однородную консистенцию. При диарее испражнения становятся жидкими или кашеобразными, может измениться цвет, появляются примеси. Обратите внимание на эти детали, они помогут определить причину поноса. Также следите за общим состоянием щенка – насколько он слаб, сколько пьет воды, меняется ли температура тела, какие есть сопутствующие симптомы.

Понос с рвотой
Рвота – частый сопутствующий поносу симптом. Однократная рвота – не повод для паники, если при этом общее состояние питомца не ухудшается. Возможно, щенок просто переел. Малыши плохо контролируют процесс поглощения пищи, часто съедают больше необходимого, что позже выливается в непродолжительную диарею и рвоту. В таком случае достаточно просто пропустить 1-2 кормления для нормализации состояния и давать щенку побольше воды.
Если рвота повторяется несколько раз за короткое время и изнуряет собаку, дело может быть в отравлении или проглатывании постороннего предмета.
При отравлении нужно выяснить, чем именно отравился щенок. Отравление несвежей сосиской можно пережить дома, но если малыш полакомился стиральным порошком или лекарствами из коробки – нужно обратиться к врачу..
При попадании инородного предмета в желудок тоже имеет значение, какой именно предмет съела собака. Часто это невозможно определить, и приходится разбираться только с последствиями. Важно избежать двух вещей: кишечной непроходимости и повреждения внутренних органов острыми краями (в таком случае обычно наступает уже понос с кровью).
Небольшие предметы гладкой формы (например, бусинки) выйдут из организма собаки самостоятельно. Но более крупные предметы могут перекрыть выход каловым массам и попросту застрять внутри. Если у щенка диарея сменяется затруднением дефекации или ее полным отсутствием – нужно обратиться к врачу. В ветклинике извлекут посторонний предмет из ЖКТ.
Важно! Следите за появлением примесей как в фекалиях, так и в рвоте. Если щенок блюет нитями белого цвета, слизью – немедленно обратитесь к ветеринару. Это все – признаки серьезных заболеваний: парвовирусного энтерита, вирусного гепатита и других.
Если рвота повторяется больше нескольких дней, причиной могут быть гельминты и различные инфекции.
Щенки, подверженные одновременно диарее и длительной рвоте, теряют огромное количество электролитов, поэтому важно поддержать их организм водно-солевыми растворами, витаминами.

Понос с кровью
Кровь в стуле пугает хозяев больше всего, и не зря. Это один из самых тревожных симптомов, при появлении которого лучше поспешить в ветклинику. В фекалиях могут наблюдаться кровяные сгустки или нити, стул может приобретать относительно ровный розовый цвет. В самых тяжелых случаях кровь может практически литься по фекалиям, и стул приобретает выраженный ярко-алый цвет.
Причиной поноса с кровью могут быть:
- разрушение нескольких кровеносных сосудов в результате перепада давления;
- механическое повреждение случайно проглоченным предметом;
- химическое или медикаментозное отравление;
- многие заболевания, такие как короновирусный энтерит, аденовироз, чума плотоядных (в просторечии – чумка), колибактериоз и т.д.
Понос с кровью не стоит лечить в домашних условиях. Устранение такой диареи проводится в два этапа. Первым делом нужно остановить кровотечение, затем врач приступает к лечению. В зависимости от причины поноса может потребоваться даже операция – например, если питомец проглотил острый металлический предмет или дело в формирующейся опухоли.
Внимание! Чем раньше вы доставите щенка к врачу, тем больше вероятность благоприятного исхода. Не пытайтесь лечить питомца самостоятельно, если не остановить кровотечение вовремя – это может привести к гибели собаки.
Диарея со слизистой примесью
У слизи в стуле две основных причины появления:
- прием противоглистных средств (особенно если паразитов было много);
- воспаление толстой кишки.
Глисты погибают при их выведении из организма, частично перевариваются и становятся видны в кале в виде слизистой массы.

При воспалении на стенках толстого кишечника начинает формироваться большое количество слизи. У щенка начинаются частые позывы сходить в туалет, стул не оформлен, выделения жидкие и слизистые.
Если щенок запоносил слизью только один раз, возможно, он просто съел что-то слишком жирное.
Черный понос
Черный понос, как и розовый, указывает на внутреннее кровотечение. Разница лишь в том, что черный стул возникает при кровотечении в верхних отделах ЖКТ, а ярко-алый – в толстом и тонком кишечнике. Кровь успевает подвергнуться действию желудочного сока, пока следует из желудка до кишечника, и за счет этого на выходе становится черной.
Есть и более простой вариант – черный цвет стулу может придавать обыкновенный уголь, если вы давали его щенку. Не торопитесь паниковать, если накануне скормили любимцу несколько таблеток угля. В остальных случаях реагировать лучше немедленно.
Действия при черном поносе аналогичны пункту о поносе с кровью.
Понос желтого цвета
Желтый цвет кала может быть связан с проблемами ЖКТ или печени. Щенок мог съесть что-то неподходящее накануне или отреагировать таким образом на смену рациона.
Если стул окрашен в ярко-желтый, почти оранжевый цвет, это говорит о заболеваниях печени и нарушениях выработки желчи. Щенку может постепенно становиться хуже, по мере прогрессирования заболевания стул будет приобретать все более насыщенный оттенок.
Зеленый стул
Стул зеленого цвета чаще всего возникает из-за отравления несвежей пищей. Щенок мог съесть протухшие, заплесневевшие продукты. В кишечнике начинается процесс гниения и брожения. Или у щенка некачественный корм, содержащий много красителей – на этот вариант стоит думать, если стул изменил свой цвет сразу после перехода на другой корм.
Иногда кал становится зеленоватым после приема медикаментов, которые вызывают дисбактериоз.
Часто зеленому стулу сопутствует повышение температуры, слабость. В тяжелых случаях, когда организм не справляется сам, потребуются антибиотики и иммунные препараты.
Белые какашки
Нормальный желтовато-коричневатый цвет калу придает желчь. Если кал теряет свой цвет, становится серым или даже белым, вероятнее всего, причина в забитых желчегонных протоках и разных заболеваниях желчного пузыря. Желчь не поступает в кишечник и накапливается внутри. Это считается опасным признаком.
В зависимости от состояния собаки кал может быть:
- серым;
- очень светлым, практически белым;
- бело-желтым;
- полностью бесцветным, напоминающим слизь.
Чисто белые какашки могут быть и следствием онкологии, поэтому с диагностикой лучше не затягивать.
Обесцветить кал на короткий срок может и пищевое отравление – организм подвергается стрессу, восстанавливается, и в этот период снижается выработка желчи.
Первая помощь в домашних условиях
Если речь идет о поносе из-за неправильного питания или легкого отравления, можно попытаться помочь щенку самостоятельно.
- Организуйте щенку небольшую голодовку. Пусть содержимое желудка и кишечника выйдет целиком, поступление новой еды может усилить распространение инфекции в ЖКТ, а голодание, напротив, снимет воспаление. Срок голодовки для крупных пород составляет от 12 до 24 часов, для миниатюрных пород и новорожденных щенков – не более 6-10 часов.
- Предупредите обезвоживание. Налейте щенку в чистую миску теплой кипяченой воды, чтобы он мог попить в любой момент. Если щенок долгое время не проявляет интереса к воде – напоите его при помощи шприца без иглы. Не давайте щенку слишком много воды сразу таким способом, лучше давать мало, но часто. Если щенок становится заметно обезвоженным – можно поставить капельницу.
- Вовремя убирайте. Чтобы предотвратить распространение инфекции, сразу же убирайте испражнения, хорошо чистите лоток и подстилку.
- Дайте щенку адсорбирующие средства. Рвота и диарея выводят из организма вредные компоненты, но для того, чтобы ускорить этот процесс и облегчить состояние щенка, хорошо дать адсорбенты. Для этой цели хорошо подойдут активированный уголь, Энтеросгель (мягче и эффективнее угля), Смекта (будьте внимательны, ее нельзя давать одновременно с другими препаратами).
- Можете попытаться вызвать рвоту у щенка. Для этого потребуется раствор марганцовки (доведите жидкость до чуть розоватого цвета), солевой раствор (1 столовая ложка на полный стакан воды) или смесь воды с 3% перекисью водорода (смешайте в равных пропорциях). Дайте одно из этих средств щенку, лучше в теплом виде. Это ускорит процесс выздоровления при небольших отравлениях.
Будьте осторожны с дозировкой адсорбирующих средств, следуйте инструкции. Щенкам в 1 месяц и в 2 месяца требуется разное количество медикаментов. В 3 месяца, когда начинают резаться постоянные зубы, можно дать щенку что-нибудь погрызть, чтобы уменьшить боль.
Что дать щенку от поноса
Для того, чтобы остановить понос, используются:
- адсорбенты – выводят из организма вредные вещества (активированный уголь, Смекта, Полисорб);
- антибиотики – купируют инфекционное или бактериальное заболевание (Левомицетин, Фуразолидон);
- противодиарейные – используются только при сильном профузном поносе (Имодиум, Лоперамид);
- препараты для нормализации микрофлоры кишечника (Мезик, Линекс, Лактобактерин);
- кровоостанавливающие (Дицинон и аналоги).
Если причина поноса в неправильном питании, то дайте щенку от поноса адсорбенты – этого должно быть достаточно. В домашних условиях не давайте никакие препараты, кроме адсорбентов, если не уверены в причинах жидкого стула. Строго следуйте рекомендациям врача и инструкциям к препаратам.
Справка! Для лечения поноса у собак берутся те же лекарства, что и для лечения людей. Поэтому необходимые медикаменты могут найтись даже в домашней аптечке, не нужно искать специальную ветеринарную аптеку.
Чем кормить щенка при поносе
Первые несколько часов или даже дней стоит отказывать щенку в еде. Не поддавайтесь, даже если он выпрашивает еду или различные лакомства. Сначала вся инфекция должна выйти из организма. За несколько часов с щенком ничего не случится, голод пойдет ему только на пользу. Максимальный срок голодовки зависит от породы и возраста собаки. Например, чихуахуа лучше голодать не более суток, а немецкая овчарка может потерпеть дольше.
После этого начинайте кормить щенка постепенно. Начните с рисового отвара – это хорошее закрепляющее средство. Можно давать щенку легкие травяные отвары, слабый сладкий чай.
На вторые сутки постепенно переводите щенка на кашу на воде или бульоне. Можно дать мясо – небольшие кусочки курятины, крольчатины, индейки или мясные пюре.
На третий день можно давать тушеные или отварные овощи (лучше всего подойдет картофель), каши на воде или бульоне.
На время поноса лучше воздержаться от молока. Уберите его из рациона еще на несколько дней для закрепления эффекта. А вот кисломолочные продукты давать можно – они благоприятно влияют на ЖКТ. Не давайте сырое мясо до полного восстановления, только отварное.
Даже если щенок питался сухими кормами, пусть не ест их несколько дней. После диареи рекомендуется давать натуральную пищу до полного восстановления стула. Сухой корм даст слишком большую нагрузку на желудок.
Кормить питомца нужно 4-6 раз в день, маленькими порциями.
Профилактика
Для профилактики диареи нужно хорошо продумать питание своего четвероногого друга. Рацион должен быть сбалансированным, питательным, полностью покрывать потребность собаки в витаминах и минералах. Если вы отдаете предпочтение сухим кормам – выбирайте только качественную продукцию.
Регулярно проводите уборку, держите вещи собаки в чистоте. Не давайте собаке продукты, которые для нее не предназначены (даже если собака очень просит). Копчености, жирная пища, сырая рыба, пряные и маринованные продукты со стола хозяев только навредят щенку.
Невозможно уследить за щенком во всем, маленький любопытный питомец везде успеет сунуть свой нос. Но старайтесь следить за щенком во время прогулок, убирайте подальше все мелкие предметы, которые собака может съесть – тогда риск диареи от неправильного питания сведется к минимуму. А для предупреждения серьезных заболеваний своевременно делайте все прививки и проводите дегельминтизацию.
Источник
Небольшое количество прозрачной слизи в собачьем кале — это норма. Но если у собаки понос со слизью, это повод обеспокоиться состоянием её здоровья. Подробнее о том, какие болезни могут вызвать такую реакцию организма и чем лечить питомца — далее в материале.
Почему у собаки понос со слизью
Диарея является одной из наиболее распространённых причин, по которой собаководы обращаются к ветеринару. Она может быть вызвана чем-то простым, например, изменением рациона, а может быть свидетельством серьёзного инфекционного заболевания.
Самый распространённый механизм возникновения поноса у собак следующий:
- Неусвоенные питательные вещества задерживают воду или поглощают её из кишечника.
- Образовавшийся объём жидкости превышает способность кишечной слизи удержать её.
- В результате получается мягкий или жидкий стул.

Другим часто встречающимся механизмом диареи у собак является повышенная проницаемость кишечной оболочки. Её воспаление или раздражение стенок ЖКТ вызывает ускоренное движение жидкости и электролитов в кишечнике, а также нарушение всасывания.
Чтобы помочь калу в движении по кишечнику, его стенки покрыты слизью. Если возникает воспаление, организм вырабатывает больше слизи, чтобы защитить их. Избыток этой слизистой массы и наблюдают хозяева в фекалиях питомца.
Важно! Если у собаки была диарея только один раз, а в остальном она игривая и вполне обычная, подождите следующей дефекации прежде, чем что-либо предпринимать. Скорее всего, состояние нормализуется и ничего делать не понадобится.
Понос со слизью может:
- возникать внезапно (острая диарея);
- длиться от нескольких недель до нескольких месяцев (хроническая);
- появляться периодически.
Всё зависит от первопричины, а они многочисленны и разнообразны. Например, питомец съедает что-то, что не является частью его нормальной диеты, или меняется состав бактерий в кишечнике, что приводит к острому поносу. Это также может быть сигналом о наличии таких проблем, как:
- воспалительные процессы в ЖКТ, в т. ч. гастрит, панкреатит, энтероколит, колит, язва желудка;
- инфекционные болезни, включая парвовирусную инфекцию, чумку;
- заболевания печени и почек;
- увеличение патогенной бактериальной микрофлоры в кишечнике;
- рак кишечника.
В таких случаях первопричина — это воспаление и/или повреждение слизистой оболочки кишечника.

Существуют также причины, не связанные с болезнями ЖКТ. Вот некоторые из наиболее распространённых:
- изменение в рационе;
- проглатывание мусора, испорченной пищи или посторонних предметов, таких как игрушки, кости и ткань;
- паразиты, в том числе круглые черви, анкилостомы, двудольные черви, кокцидии и лямблии;
- аутоиммунные расстройства;
- стресс в результате переселения в новый дом, поездки, появления нового питомца или члена семьи;
- аллергия;
- токсины/яды;
- инородное тело в кишечнике.
Обратите внимание на то, что при разных болезнях или патологиях стул у собаки отличается. Это особенно важно, если у вас щенок. У него стул мягкий из-за возрастных особенностей, поэтому определить диарею бывает сложнее.
Важно! Продолжительный понос со слизью опасен тем, что создаёт риск обезвоживания организма. Поэтому важно восстанавливать потерянную организмом жидкость.
При диарее, причина которой находится в тонком кишечнике, наблюдается очень много водянистого стула. Частота дефекации нормальная, но может быть немного увеличена. Тёмный стул свидетельствует о кровотечении в желудке или в первой части тонкой кишки. Процесс обязательно сопровождается вздутием, слышны шумы от повышенного газообразования и может появляться рвота.
Когда причина находится в толстом кишечнике, вы будете видеть большое количество слизи в каловых массах. Если имеются вкрапления крови, она будет яркого алого цвета
Проблемы с питанием
Если вы наблюдаете просто мягкие фекалии, которые ложатся колбаской, это реакция на новую пищу или на то, что питомец съел что-то, не предназначенное для его желудка.
Если он съел что-то неправильное, для очистки кишечника можно:
- Промыть его солевым раствором. Для этого для собак массой до 10 кг разводится 1 десертная ложка соли в стакане тёплой воды и делается клизма.
- Затем животному нужно дать сорбент. Для этого активированный уголь (5–20 таб.) смешивают с 1 десертной ложкой вазелинового масла и дают выпить. Уголь вберёт в себя остатки токсинов, а масло выведет их наружу.
Если в стуле слишком много жира и он серого цвета, то это реакция на жирную пищу. Уменьшите содержание жиров в рационе, который потребляет щенок, чтобы увидеть, решит ли это проблему. Переработанная пища покинет организм через сутки, поэтому, если вы не наблюдаете улучшения в результатах дефекации на второй день, нужно показать животное ветеринару.
Знаете ли вы? За сутки 1 самка круглого червя (нематоды) откладывает до 200 тысяч яиц.
Заражение глистами
Стул с обилием слизи бывает признаком глистов. Стенки кишечника покрыты слизистой оболочкой. Паразиты повреждают её, в результате чего организм увеличивает выработку защитной слизи, поэтому её частицы оказываются в кале.
Дополнительные симптомы глистной инвазии:
- рвота;
- тошнота;
- истощение;
- апатия.
Обратите внимание на особенности глистного заражения. Находящиеся в организме паразиты отлично приспособлены к тому, чтобы не выпасть из него вместе с калом (они цепляются за стенки и не выходят в толстую кишку). От воздействия желудочного сока их защищает оболочка, а если червь погиб, то желудочный сок переваривает его и в каловых массах оказывается только слизь. А диагностируются глисты под микроскопом по наличию яиц в кале.

Дисбактериоз
Дисбактериоз — это состояние, при котором нарушен баланс микрофлоры в кишечнике. Кал в этом случае будет:
- зелёный, если пища плохо переваривается и часть из неё гниёт; сопровождающие симптомы — повышенное газообразование, слабость, рвота и тошнота;
- светлый и вонючий, если в рационе много жиров и неразрешённых для собак продуктов — сладостей;
- с примесями крови — это значит, что есть травма тонкого кишечника (язва, паразиты и т. д.);
- со слизью — значит, где-то в кишечнике идёт воспалительный процесс.
Жёлтая слизь в кале — устойчивый признак дисбактериоза.
Антибиотики
Когда речь идет о диарее у собак, важно различать:
- диарею, вызванную антибиотиками;
- диарею, вызванную болезнью.
Первая часто упоминается как острая, так как она начинается внезапно и длится от нескольких дней до нескольких недель. Это побочный эффект приёма некоторых препаратов.
Антибиотики предназначены для уничтожения бактерий, вызывающих инфекцию. Но они могут уничтожать и полезные бактерии в пищеварительном тракте. По мере того, как количество полезных бактерий снижается, возникает дисбаланс и начинается диарея. Так бывает не у всех собак, но есть ряд ситуаций, когда животные становятся предрасположенными к такому виду диареи:
- Общее состояние здоровья. У животных с ослабленной иммунной системой любые побочные эффекты лекарств проявляются чаще. И их желудок более склонен к расстройству.
- Тип антибиотика. Следующим важным фактором является марка используемого антибиотика, его сила или дозировка. Те, кому антибиотики назначены 3 раза в день, будут чаще поносить. И, конечно, не нужно превышать назначенные врачом дозировки.
- Продолжительность лечения. Чем дольше оно длится, тем выше вероятность поноса со слизью из-за дисбактериоза.

Курс лечения антибиотиками должен проходить в соответствии с назначениями врача. Но если вы обнаружили, что от лекарств возникает диарея, нужно проконсультироваться с ветеринаром, прежде чем прекратить лечение. Возможно, в дополнение к антибиотику будет назначен антидиарейный препарат, или его заменят на другое лекарственное средство.
Важно! Антибиотики борются лишь с бактериями, так что они не будут действовать против вирусных инфекций. Это означает, что они не эффективны против вирусов, которые вызывают грипп, чумку.
Колиты
Колит — это воспаление слизистой оболочки толстой кишки. Заболевание сопровождается увеличением количества слизи в каловых массах. Причиной колита являются стрессы, кишечные инфекции и паразиты.
Характеристики стула при колите: жидковатый, частый, вонючий, со слизью, иногда с кровью. Дополнительный признак колита — собака просится на прогулку, но дефекация не происходит. Или кала будет совсем немного, несмотря на все усилия.

Если болезнь будет прогрессировать, то питомец станет привередлив в питании, потеряет аппетит и начнёт терять вес. При соответствующем лечении большинство питомцев выздоравливает в течение нескольких дней.
Лечение колита будет включать в себя:
- мягкую диету (на время болезни);
- лечение глистов (если это причина проблемы);
- пробиотики;
- противовоспалительные средства специально для кишечника, которые уменьшают воспаление и боль.
Профилактика болезни заключается в соблюдении правильного питания, регулярном удалении глистов и предотвращении поедания мусора на прогулке.
Болезни печени
Печень помогает процессу пищеварения и удаляет токсины из организма. Если она работает неправильно, это становится причиной различных болезней.
Симптомы заболеваний печени:
- потеря аппетита;
- снижение веса;
- рвота;
- диарея;
- усиление жажды;
- перепады настроения;
- увеличение количества мочеиспусканий;
- желтоватые склеры, дёсны;
- кровь в моче или кале;
- асцит (накопление жидкости в животе).
Иногда болезни начинаются в результате старения, а иногда из-за генетического сбоя. Другие причины:
- плесень;
- глисты;
- диабет;
- болезни поджелудочной железы;
- сердечные черви;
- жирная пища.

Для болезней печени свойственно то, что из-за недостатка жёлчи затруднено расщепление и усвоение жиров. Поэтому фекалии получаются жирными, слизистыми, серого цвета. И если речь идёт о маленькой собаке, которая ходит в лоток, то вымыть его становится проблемой.
Лечение болезней печени зависит от того, что стало их причиной. Если это проблемы с питанием, то их нужно устранить, а глистов пролечить глистогонными препаратами. Если же речь идёт об опухоли или кисте, может потребоваться её удаление хирургическим путём.
Знаете ли вы? Согласно Википедии, бордер-колли Чейзе (Chaser) обладает самой лучшей памятью среди собак. Она смогла найти и идентифицировать все свои 1022 игрушки по названию.
Другие причины
Все воспалительные процессы в желудочно-кишечном тракте будут сопровождаться примерно одинаковыми симптомами. Среди них:
- рвота;
- вздутие живота;
- дегидратация;
- слабость;
- жидкий понос со слизью;
- лихорадка.
Смолистый цвет кала — это признак кровотечения. Это значит, что есть повреждение, язва или опухоль, которая кровит, а переваренная в кишечнике кровь поступает в стул. В этом случае нужно без промедления обратиться за медицинской помощью.
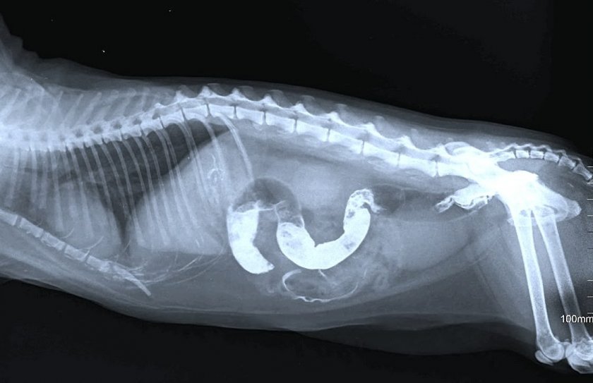
Кишечная непроходимость возникает из-за проглатывания игрушек или костей. Она может сопровождаться:
- сильной болью;
- рвотой;
- частым поносом с небольшим количеством водянистого стула, нередко с примесями крови.
Диагностировать болезнь ветеринар может после проведения анализов, изучения УЗИ и рентгеновского снимка ЖКТ
Первая помощь
Хотя большинство перечисленных выше случаев нестандартного состояния кала со слизью предполагают, что вы немедленно обращаетесь за медицинской помощью, владельцы часто лечат своих питомцев в домашних условиях. Для этого:
- питомца прекращают кормить на 24 часа;
- дают противорвотное («Церукал», «Метоклопрамид») и противопоносное («Левомецитин»).
Чтобы правильно организовать лечение, нужно помнить, что диарея — это способ избавления организма от какого-либо вещества, неважно, пища это или вирус. Также важно то, что вирус нельзя остановить, но можно лечить сопровождающие его симптомы, в том числе и диарею. В этой ситуации необходимо, чтобы врач точно установил вид инфекции или вируса и назначил лечение, которого нужно придерживаться.
Важно! Рвота и понос без других симптомов могут появляться у собак 1-2 раза в месяц. Это физиологическая особенность очистки организма хищника, которая не требует лечения.
Как проходит диагностика
Для правильной диагностики ветеринару нужно знать:
- как долго длится понос;
- как выглядит стул;
- есть ли в нём слизь или кровь;
- были ли изменения в рационе.
Поэтому можно взять образец стула с собой для того, чтобы ускорить диагностику. В зависимости от того, что именно предполагает ветеринар, он выберет перечень анализов и обследований.

Лечение поноса со слизью у собаки
Лечение собаки антибиотиками сопровождается нарушением микрофлоры кишечника. Чтобы защитить её, надо использовать пробиотики. Это препараты, которые содержат полезные бактерии и будут предотвращать дисбактериоз, лечить болезни ЖКТ и поддерживать работоспособность иммунной системы. Они также снижают вероятность диареи в будущем.
Пробиотики продаются в большинстве зоомагазинов в качестве пищевых добавок. Их подмешивают в еду при утреннем кормлении. Основные препараты:
- «Фортифлора»;
- «Ветом»;
- «Viyo Reinforces»;
- «Акти-дог»;
- «Бифидумбактерин».
Для поддержания работы кишечника нужно обеспечить его мягкой диетой. Это поможет остановить понос, уменьшить воспаление, а значит, и выработку слизи. Предложите питомцу отварной рис с нежирной курицей. Правильное соотношение компонентов: 1:3.
Знаете ли вы? У побережья Австралии есть остров, где пара специально обученных мареммо-абруццких овчарок охраняет колонию крошечных пингвинов от лисиц. Собак обучили этому в 2006 году после того, как лисы чуть было не уничтожили пингвинов.
Возможно, ветеринар назначит противодиарейное лекарство для собаки. В основную группу входят:
- «Активированный уголь». Он всасывает излишнюю жидкость и выводит её из организма в виде мягкого стула. Также уголь захватывает и выводит токсины, снижая нагрузку на печень и почки. Оптимальная дозировка — 1 таблетка на 10 кг массы питомца.
- «Левомицетин» назначают для того, чтобы остановить сильный понос. Норма — 1–1,5 таблетки на 1 собаку.
- «Смекта». Она действует так же, как и активированный уголь. На животное весом 15 кг рекомендуют 3-4 пакетика препарата.
- «Фуразолидон» хорошо помогает, если причина поноса — бактерии. Доза — 1–1,5 таблетки на животное. Но ветеринары назначают этот препарат целенаправленно, т. к. он отрицательно влияет на почки.
- «Лоперамид» — препарат, который может останавливать диарею любого происхождения. Он достаточно безопасен. Назначают его из расчёта 1–1,5 таблетки на 1 животное, но не больше 4 таблеток для крупных собак.

Что касается лечения внутренних паразитов, то, в отличие от блох и клещей, к большинству из них нужен «индивидуальный подход»:
- при заражении простейшими применяют «Альбендазол». Курс лечения — 2 р. по 25 мг/кг.
- от гельминтов: «Фебтал-комбо» — 1 мл/кг или другие препараты — «Мильбемакс», «Каниквантел». Дозировку выбирают в соответствии с весом питомца.
В лечении воспаления поджелудочной железы (панкреатита) у собаки выделяют следующие важные мероприятия:
- Назначается жёсткая диета на 24–48 часов, в распоряжении питомца оставляют только воду.
- Выписывают обезболивающие препараты «Баралгин», «Спазмалгон» для снятия болевых ощущений.
- Проводится внутривенная жидкостная терапия для поддержания жидкостного баланса в организме.
- Назначают противорвотные препараты — «Церукал», «Метоклопрамид».
Знаете ли вы? Единственная известная собака, получившая звание сержанта за подвиги, совершённые на поле боя — пёс неопределённой породы по кличке Стабби. Он участник первой мировой войны, принявший непосредственное участие в 17 боях вместе с солдатами 26-й пехотной дивизии США.
Обязательно контролируйте количество жиров — не допускайте их бесконтрольное употребление. Не разрешайте собаке есть отходы с вашего стола. Кормите её маленькими порциями, но чаще.
Дополнительно назначают:
- рыбий жир для контроля за количеством липидов в крови;
- витамин Е (с селеном), витамин С, бета-каротин и «Метионин» для предотвращения воспаления поджелудочной железы и органов ЖКТ.
Профилактика
Лучшее, что можно сделать для профилактики диареи — это относиться к питанию питомца так же заботливо, как и к своему. Кроме того:
- Проводите вакцинацию согласно графику прививок. Это обезопасит его от инфекционных болезней.
- Не допускайте контакта с бродячими живот?